ジルコニアインプラントへの勘違い
こんにちは 院長の亀井です
ジルコニアのインプラントをしているという宣伝で勘違いされている方がいたのでご紹介します
ジルコニアインプラントは インプラントの本体から土台 かぶせものまですべて非金属のジルコニアでできているものです
チタン製の本体に土台のみジルコニアのものはジルコニアインプラントではありません。
金属アレルギーの方は骨内に金属を使用すべきではないと思います
チタンは非常にアレルギーを起こしにくい金属ですがリスクはあります
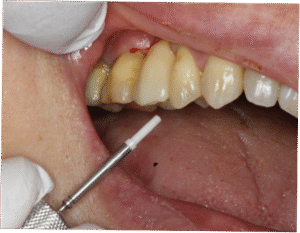
当院で使用しているジルコニアインプラントは一切金属を使用しておりません

写真のようにねじ止めの歯のスクリューもジルコニア製です。 スクリューを占めるドライバーはチタン製ですが 体内に残りません。
Zsystems という スイスの会社のものを使用しています

私は Zsystems 社の公認指導医ですので 特に金属アレルギーの方はご相談ください


