審美性にすぐれた、ジルコニアインプラント
こんにちは 院長の亀井です
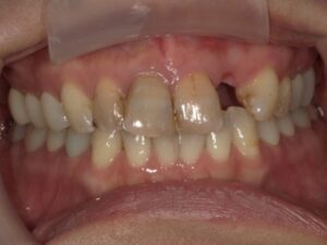
写真の方は転んで 前歯を折った方です

前歯のインプラントは見た目が重視されるため難しいです
今回は 白いインプラントである ジルコニアインプラントを埋入することになりました
この方は 骨が薄かったため 骨を造成する処置も行っております

これは術前
下の写真は 4か月後

自分の歯見たいと よろこんでおられました。
前歯のインプラントを検討中方はご参考に
東京・世田谷でインプラント・ジルコニアインプラント・オールオン4なら『インプラント治療専門サイト』から
こんにちは 院長の亀井です
写真の方は転んで 前歯を折った方です

前歯のインプラントは見た目が重視されるため難しいです
今回は 白いインプラントである ジルコニアインプラントを埋入することになりました
この方は 骨が薄かったため 骨を造成する処置も行っております

これは術前
下の写真は 4か月後

自分の歯見たいと よろこんでおられました。
前歯のインプラントを検討中方はご参考に