金属アレルギーの方にインプラントはできるのか?

金属アレルギーの方にインプラントはできるのか?

 

こんにちは 院長の亀井です

金属アレルギーの方は最近増えております。 一般的なインプラントはチタンという金属でできています。 金属アレルギーの方は特にインプラント治療の安全性を気になるでしょう

チタンという金属は非常にアレルギーを起こしにくい金属として知られております。だからと言って安全ではありません。

少ないですが、チタンにアレルギーを持つ方もいます。 あなたの不定愁訴はひょっとしたら チタンインプラントのせいかもしれないのです。 そういう方には 非金属のインプラントであるジルコニアインプラントをお勧めします

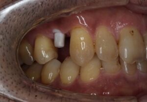
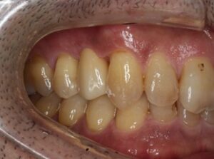
写真は 金属アレルギーの方で 当院でジルコニアインプラントした方です

白いインプラントですので 見た目もきれい。患者さんは非常に満足していただきました。

金属アレルギーの方はご参考にされてください